【喜讯】江南·(中国区)体育官方网站-JN SPORTSIHC完整解决方案在2024年NordiQC免疫组化室间质评(RUN71)再获佳绩
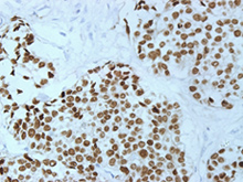
NordiQC测评作为国内病理学领域知名的抗体供应商之一,江南·(中国区)体育官方网站-JN SPORTS(上海)股份有限公司致力于高质量、高性价比的抗体研发生产,历年来持续关注和参与“国际权威病理室间质评机构——北欧NordiQC免疫组化质控中心”组织的室间质评活动,均获得出色评价。2024年NordiQC公布了新一轮室间质评结果,在Run 71(CD20、BAP1、CD117、PMS2、INSM1、CK-PAN)测试中,江南·(中国区)体育官方网站-JN SPORTS自主研发的即用型抗体染色结果再获佳绩!INSM1阑尾神经内分泌肿瘤(乳腺)胰腺肺腺癌小细胞肺癌INSM1(胰岛素瘤相关蛋白1)是一种具有锌指结构域的转录因子,在多种组织的神经内分泌分化中起重要作用。近期研究表明:IMSM1在神经内分泌肿瘤中高表达,可作为神经内分泌肿瘤的鉴别诊断标记物。PMS2结肠癌PMS2(PMS1 Homolog 2)是人类错配修复基因家族中一个重要的基因,人类错配修复基因对保持遗传信息的完整性、稳定性及避免遗传突变的产生具有重要作用。突变后该基因缺失,会使细胞错配修复功能缺陷,导致微卫星不稳定(MSI),使肿瘤易感。目前,多和MLH1、MSH2、MSH6共同用于Lynch syndrome的筛查、结直肠癌预后预测、II期结直肠癌治疗指导及结直肠癌免疫治疗人群筛选等。CK-PAN肺腺癌CK-pan(Cytokeratin Pan, 广谱细胞角蛋白)该抗体可与几乎所有的上皮反应(除肾上腺、肝细胞肿瘤,精原细胞瘤,一些肾细胞肿瘤,一些类癌和胰岛细胞),而与一些中间丝状蛋白无交叉反应。此抗体可用于鳞状细胞肿瘤(包括梭形细胞变异型)、腺癌、移形细胞癌、小细胞癌、类癌、多型性腺瘤(上皮成分)、胸腺瘤、间皮瘤(包括肉瘤样成分)、脊索瘤,生殖细胞肿瘤(除外精原细胞瘤)、滑膜肉瘤和上皮样肉瘤的诊断中。BAP1恶性间皮瘤阑尾BAP1基因(BRCA1相关蛋白1)是一种80kDa的蛋白质,它通过靶向降解或改变其他蛋白质的活性功能来去除泛素修饰物。因此,BAP1有助于参与调节不同细胞过程的靶蛋白功能。BAP1基因的种系突变已被确定为一种新型的肿瘤易感综合症的遗传驱动力,其导致遗传性、早发性癌症的风险增加。BAP-1与多种类型癌症的早发和/或风险增加有关,包括黑色素瘤、恶性间皮瘤、结肠癌、肾细胞癌和其它恶性肿瘤。识别特定的BAP1缺失在肿瘤早期筛查、诊断和预后判断有着重要意义本次参评的染色平台及所有试剂,均出自江南·(中国区)体育官方网站-JN SPORTS自研体系,染色结果有保障。染色仪产品信息关于NordiQC北欧免疫组织化学质量控制(NordiQC)组织是国际公认的权威病理室间质评机构,一直致力于推进免疫组化流程的标准化和实验条件的优化。NordiQC将染色结果划分为Optimal(出色)-Good(良好)-Borderline Staining(临界)- Poor Staining(差)四个等级, 其中出色、良好被认为是合格的染色结果。“Optimal”为NordiQC对染色结果评价的至高等级,意味着在测试的组织样本值中,染色结果被认为是标准的或接近标准的。
【新品单抗】Pepsinogen I
产品简介胃蛋白酶原Ⅰ(PepsinogenⅠ)主要由胃底腺的主细胞和黏液颈细胞分泌,当胃黏膜发生萎缩时,主细胞数量减少,Pepsinogen Ⅰ分泌减少。因此,Pepsinogen Ⅰ可在一定程度上反映胃黏膜的分泌功能和病理状态,在胃癌及慢性萎缩性胃炎的诊断中具有重要的临床意义。 克隆号定位阳性对照修复条件7G3细胞浆胃高PH热修复胃石蜡组织,用Pepsinogen I染色,DAB显色


